A legtöbbet persze a versenypályán estem, amióta pályamotorozom, úgy 2006 óta. Csúsztam egy kicsit a Hungaroringen, csúsztam egy nagyot a Pannonia ringen, úgyhogy minden magyar pálya kipipálva. Aztán estem egy nagyot Oscherslebenben, kivételesen technikai okból :-)
Azután egész jól megúsztam 2008-at bukás nélkül, ez önmagában egy sikerélmény volt arra a szezonra. Aztán építkezés stressz, kevés ídő és pénz erre a nem igazán olcsó hobbira de megpróbáltam bepréselni a motorozást is, éjszakába nyúló motorszerelések, a használt cuccok beépítése, nem éppen felkészülten a Lausitzringen már a második kör végén hideg gumival hatalmasat estem, vagyis én olcsón megúsztam leginkább csúsztam de a motor nagyon megsínylette. Ennyi volt 2009...
Aztán jött 2010, építettem egy szuper gépet és szuperül is alakult a nem túl terjedelmes motoros szezonom a korábbi 2 fontos tényező korlátozott számú rendelkezésre állása miatt (ídő, pénz :))), nagy sikerélménnyel a Sachsenringen (brutál jó versenypálya). Ezután csak a Berlin közelében levő ilyen gyakorlópálya szerúségre tudtam év közben 2szer kimenni motorozni fejlődni, gyakorolni, arra kiváló hely. Aztán jött az ősz és gondoltam még október végén kimegyek megint az utolsó lehetőségükre. És repkedtek a köridők a 7 fok celsiusok ellenére...elkövettem egy hibát elkezdtem élvezni önfeledten a dolgot és figyelmen kívül hagytam a potenciálisan nagyobb veszélyforrást a hideg aszfaltot és levegőhőmérsékletet. És itt estem az életelmben eddig a legnagyobbat ami után percekig a földön maradtam...nem tudtam felállni, fájt mindenem... Highsider... nagy ívben elkerülendő...
De megúsztam ezt a bukást is, ami mégis a végső lökést adta meg ahhoz, hogy felhagytam ezzel a hobbival. A lényege az eddig leírtaknak, hogy megúsztam minden pályamotoros buktámat ép bőrrel!! Max egy kis zúzódás itt vagy/és :) ott, sántikálás pár napig. Pedig talán csak a Hungaroringen nem mentem legalább 100 km/h-val a bukás pillanatában...Nem fotózom le a mostani bőrruhámat amiben van pár bukta, de nagyon beszédes az állapota! :)
És akkor ezen előzmények után illetve hatására 2011-ben elkezdem valami más foglalatossággal termeltetni a kis öröm hormonjaimat, futni kezdek illetve most triathlonozni, és az első triathlon versenyemen elesek egy biciklivel max 30 km/h-val, kidőlök 2 hónapra és valószínűleg örökre nyoma marad a vállamban az esetnek! Szuuuupeeeer. Az életnek van humorérzéke. :-)
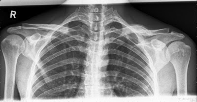
Csütörtökön voltam a "váll specialista" dokinál, aki a vitt röntgenfelvételek láttán és némi kézgyakorlat tesztelés után megállapította, hogy a szalag minimál meg van nyúlva, elszakadva egész biztosan nincs, minden ok. Edzeni lehet mindent amíg nem fáj. Ha fáj, stop! És ő mondta, lehet már eleve kicsit nyúltabb volt a kulcscsontom furcsasága miatt az a rész....
Egyáltalán nem fáj meg semmi, de kb 1-2mm-el feljebb áll a kulcscsontom vége mint a jobb vállamban. Lehet mindig ilyen volt a kulcscsonttörés óta, nem tudom... sosem tűnt fel...de szerintem nem.
Most kedden az eredetileg akihez jártam sebészhez mentem vissza kontrollra, aki azt mondta hogy jóval feszesebb a kulcscsont nyomásra mint 3 hete volt, tehát szépen alakul. Ha lehet a bringázást, úszást még ne erőltessem, futni futhatok...és akkor ennyi volt. MRT-s vizsgálatnak semmi következménye nem lenne a jelenlegi tüneteknél, HA fájni fog nem javul (egyáltalán nem fáj) akkor kell majd eldönteni, mi a következő lépés. Itt a vége fuss el véle. Idén triathlonon biztos nem fogok indulni már....sajnos...sokat edzettem ezért úgy érzem. Talán majd jővőre több szerencsém lesz.
A röntgenképet beszúrom ide a végére:
![]() |
| luxation acromioclavicular joint, tossy 1 |
EDIT:
Mégegy bukta a végére, először voltam Most-ban:
Izgultatok? :D














